Коронки на зуб, импланты, металлокерамика в Ижевске
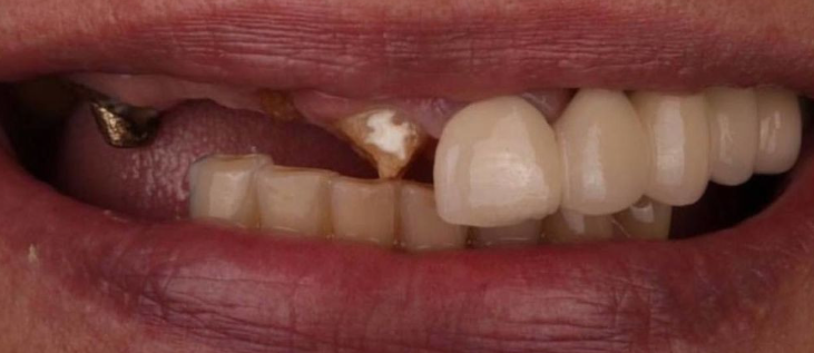
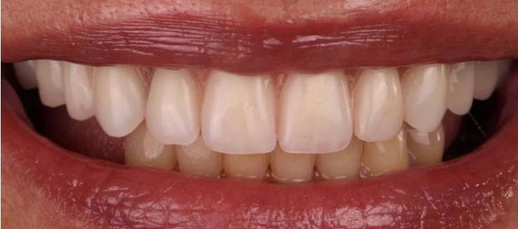
Многие люди рано или поздно сталкиваются с необходимостью протезирования зубов. Причины бывают разные — возрастные изменения, различные травмы и так далее. А ведь любой из нас мечтает о красивой улыбке! Коронки, импланты, металлокерамика — все эти методы подарят вам красивую улыбку и уверенность в себе.
На сегодняшний день имплантация – лучший способ восстановления зубов, но если из-за физиологических или материальных ограничений нет возможности установить имплант, мы предлагаем современное съемное протезирование: бюгельное протезирование и ацетал-протезы.
Протезирование представляет собой комплекс техник и методик, дающих человеку возможность эффективно восстановить ранее потерянные зубы. Цены протезов сильно отличаются и зависят от выбранного вашим врачом метода лечения.
Какие бывают виды протезирования: |
Виниры
их устанавливают на переднюю зубную поверхность и применяют для реставрации передних зубов, попадающих в видимую зону улыбки. Виниры прекрасный метод протезирования, потому что уже за пару сеансов ваша улыбка станет неотразимой.
Конструкции из металлокерамики и безметалловые конструкции. Благодаря им возможно решить большое количество проблем — провести реконструкцию размера и формы зубного ряда, подарить улыбке эстетику, восстановить функции зубов.
Бюгельное протезирование
Бюгельный протез это съемный зубной протез на металлической основе. Металлический литой каркас крепится на зубы и перегружает их, за счет чего они быстрее портятся. Это рабочий метод, который можно применять в некоторых случаях, но своим пациентам мы рекомендуем использовать ацеталь, вместо бюгельных протезов.
Ацеталовые протезы
Ацеталь – современная альтернатива бюгельным протезам. Они более эстетичны потому что цвет креплений подбирается под цвет зубов и десен. Ацеталовые протезы сделаны из термопластического материала, который очень прочный на изгиб, но не вызывает аллергических реакций. Равномерно распределяет жевательную нагрузку, тем самым позволяя уберечь опорные зубы от расшатывания. Благодаря новым технологиям, которые используются при таком виде протезирования, можно за короткое время устранить дефекты зубного ряда и всевозможные косметические недостатки. Еще один плюс этого протеза – комфортность при ношении.
Ацеталь – современная альтернатива бюгельным протезам. Они более эстетичны потому что цвет креплений подбирается под цвет зубов и десен. Ацеталовые протезы сделаны из термопластического материала, который очень прочный на изгиб, но не вызывает аллергических реакций. Равномерно распределяет жевательную нагрузку, тем самым позволяя уберечь опорные зубы от расшатывания. Благодаря новым технологиям, которые используются при таком виде протезирования, можно за короткое время устранить дефекты зубного ряда и всевозможные косметические недостатки. Еще один плюс этого протеза – комфортность при ношении.
Имплантаты
Вживление искусственного корня в челюстную кость, на которую со временем устанавливают коронку. Имплантат – опора для съемных и несъемных зубных протезов. Мы используем качественные и надежные имплантаты лучших фирм. Изготовлены они из медицинских металлов: титана и циркония. Благодаря чему вероятность отторжения сводится к минимуму, а комфорт и функциональность — максимальны.
Протезирование в Ижевске: цены
Многих пугают отзывы о том, что импланты наносят вред и имеют множество противопоказаний, однако в нашей клинике мы используем в работе зубные протезы нового поколения высочайшего качества. Выбрать оптимальный для вас метод, узнать цены и проконсультироваться по другим вопросам вы можете у опытных консультантов нашей клиники. Записаться на прием можно, позвонив по номеру 8 (1234) 56-78-90
В нашей клинике большое количество благодарных клиентов и ознакомиться с отзывами, в том числе по услуге имплантации, вы можете на нашем сайте.
Нас часто ищут в интернете по запросу «Стоматология Ижевск», потому что мы помогаем вам не только восстановить зубы и получить красивую улыбку, но и существенно сэкономить, потому что мы предлагаем низкие цены на разные виды протезирования
Отзывы
ПРОТЕЗИРОВАНИЕ: Частые вопросы
Столько стоить поставить коронку?
Вместе с работой металлокерамическая коронка стоит примерно 8000-8500. Цельнолитая 5500-6000.
У меня сломался протез. Сколько стоить его починить?
Доктор дожжен посмотреть ваш протез и сказать возможно ли его починить. Если да, то стоимость починки 1000 + коррекция 300
У меня слетела коронка, сколько стоить ее зафиксировать?
Зафиксировать 1 место стоит 300 рублей. Если осталось большое количество старого материала, то его удаление дополнительно будет стоить 200 рублей.
Получите осмотр 3 врачей и панорамный снимок полости рта стоимостью 1300 руб. в подарок при записи по телефону
8 (1234) 56-78-90
В будние дни с 9:00 до 00:00, в выходные с 9:00 до 18:00
Приходите к нам за своей блестящей улыбкой
We work hard everyday to make our clients happy.
Заполните форму для бесплатной консультации у врача
Made on
Tilda